提供3000多款全球软件/控件产品
针对软件研发的各个阶段提供专业培训与技术咨询
根据客户需求提供定制化的软件开发服务
全球知名设计软件,显著提升设计质量
打造以经营为中心,实现生产过程透明化管理
帮助企业合理产能分配,提高资源利用率
快速打造数字化生产线,实现全流程追溯
生产过程精准追溯,满足企业合规要求
以六西格玛为理论基础,实现产品质量全数字化管理
通过大屏电子看板,实现车间透明化管理
对设备进行全生命周期管理,提高设备综合利用率
实现设备数据的实时采集与监控
利用数字化技术提升油气勘探的效率和成功率
钻井计划优化、实时监控和风险评估
提供业务洞察与决策支持实现数据驱动决策
翻译|使用教程|编辑:黄竹雯|2019-06-20 14:19:01.057|阅读 703 次
概述:图像增强是指突出显示图像的某些信息,以及根据特定需要削弱或删除任何不必要信息的过程。
#慧都22周年庆大促·界面/图表报表/文档/IDE/IOT/测试等千款热门软控件火热促销中>>
图像增强是指突出显示图像的某些信息,以及根据特定需要削弱或删除任何不必要信息的过程。例如,消除噪点,显示模糊细节,以及调整级别以突出显示图像的特征。
图像增强技术可分为两大类:
空间域 - 增强图像空间,根据具有特定分辨率的空间坐标将图像划分为均匀像素。空间域方法直接对像素执行操作。
频域 - 通过将傅里叶变换应用于空间域而获得的增强。在频域中,像素既可以成组操作也可以间接操作。
本节讨论在空间域中实现的图像增强技术。该概念是使用预定义的变换函数将每个像素映射到新图像上。
g(x,y)= T(f(x,y))
g(x,y)是输出图像
T是操作人员
f(x,y)是输入图像

图片来源:Slideshare.net
该图示出了图像空间域中的点(x,y)的3×3邻域(或空间滤波器)。将邻域从像素移动到像素(称为空间过滤的过程)可以生成新图像。
最简单的图像增强方法是使用1 x 1邻域大小。在这种情况下,输出像素仅取决于输入像素,并且函数可以简化为:
s = T(r)
不同的转换函数适用于不同的场景。

图片来源:Slideshare.net
线性变换包括恒等变换和负变换。
在特征转换中,输入图像与输出图像相同。
s = r
负变换是:
s = L – 1 – r = 256 – 1 – r = 255 – r
这种变换适用于增强嵌入图像暗区的白色或灰色细节。例如,在数字X线照片中分析身体结构组织。

图片来源:Slideshare.net
一般对数转换方程为:
s = clog(1 + r)
c是常数
在对数变换中,低强度值被映射到更高强度值。

图片来源:Slideshare.net
反对数变换与对数变换相反。
幂律变换方程是:


图片来源:Slideshare.net
与对数变换相比,伽玛变换可以通过改变伽马值来生成一系列可能的变换曲线。
以下是使用不同
值输出的增强图像。

图片来源:TutorialsPoint.com
此方法用于提高图像的全局对比度,使其看起来更加明显。
一般直方图均衡公式为:

CDF是指累积分布函数
L是最大强度值(通常为256)
M是图像宽度,N是图像高度
h(v)是均衡值

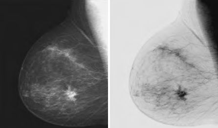
直方图均衡之前
图片来源:维基百科

直方图均衡之后
图片来源:维基百科
要了解有关成像基础知识的更多信息,请阅读图像处理101教程系列中的第一篇:
和第二篇文章:
和第三篇文章:
本站文章除注明转载外,均为本站原创或翻译。欢迎任何形式的转载,但请务必注明出处、不得修改原文相关链接,如果存在内容上的异议请邮件反馈至chenjj@dmsbdw.cn




Parasoft C/C++test是一款专为C/C++代码设计的自动化测试工具,通过静态代码分析、单元测试和运行时错误检测等功能,帮助开发团队在早期发现并修复缺陷,提升代码质量和开发效率 。在实际使用中,尤其是在VC6此类旧版开发环境中执行单元测试时,可能会因环境兼容性问题触发链接错误。
本文主要介绍如何在MVVM应用程序中使用虚拟源,欢迎下载最新版组件体验!
Aspose.Slides for Java使用户能够轻松地操作幻灯片、添加注释和转换文件。其易用性和集成能力提高了工作效率,使开发人员能够专注于更关键的任务。
在嵌入式软件测试领域,对交叉编译代码进行单元测试是一大挑战。Parasoft C/C++test作为专业的C/C++测试工具,能够与劳特巴赫Trace32调试器深度集成。下面会详细介绍如何在C++test中配置Trace32调试器,实现对PowerPC架构程序的单元测试,涵盖环境设置、项目导入到测试执行的全过程。
相关产品
Dynamsoft Barcode Reader SDK是一款多功能的条码读取控件。
Dynamsoft Camera SDK为你的应用程序提供支持,将iPhone或Android手机变成文档扫描仪
最新文章 MORE
星空外围足球网(相关的文章 MORE
服务电话
重庆/ 023-68661681
华东/ 13452821722
华南/ 18100878085
华北/ 17347785263
客户支持
技术支持咨询服务
服务热线:400-700-1020
邮箱:sales@dmsbdw.cn
关注我们
地址 : 重庆市九龙坡区火炬大道69号6幢
星空外围足球网(